Prothèses complètes
Besoin d'une prothèse dentaire ?
L'âge, les accidents, le parodontose (maladie des gencives), sont les causes principales de perte de dents. Chantal Clerc offre un service complet dans la réalisation des prothèses, en parallèle avec le dentiste.
Comment se déroule le processus de réalisation d'une prothèse?
- Le médecin dentiste fait une première empreinte
- Réalisation d'un porte empreinte individuel au laboratoire
- Prise de l'empreinte définitive par le médecin dentiste
- Réalisation d'une cire pour enregistrer l'occlusion
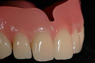
- Choix de la teinte et forme des dents
- Lors de la prise d'occlusion au cabinet dentaire, la technicienne va s'entretenir avec le patient et le dentiste, pour le choix de la teinte, de la forme et des souhaits de chacun.
- Mise en articulateur de la maquette d'occlusion et réalisation du montage des dents pour l'essai
- S'ensuit un rendez-vous chez le dentiste pour essayer la future prothèse et contrôler la technique et l'esthétique. A ce stade toute modification est encore possible
- Si la prothèse ne convient pas tout à fait, nous refaisons un essai. Si elle convient parfaitement, elle revient au laboratoire pour la mise en forme définitive, système d'injection Ivocap.
- Mise en bouche chez votre dentiste de votre nouvelle prothèse

Prothèses amovibles (à enlever et à remettre)
- Prothèses complètes (en haut et en bas)
- Version complet-partiel (en bas ou en haut)
- Nombreuses marques de dents, teintes et formes
- Réalisées avec le système Ivocap (en résine injectée)
- Appareils partiels avec crochets métalliques



